Oral Cancer Screening in Owasso, OK

Professional Screenings That Protect Your Family’s Health and Peace of Mind
Early detection is the key to successful oral cancer treatment and improved survival rates. At Lexington Dental of Owasso, Dr. Jacob Cary provides thorough oral cancer screenings as part of every routine dental examination for patients throughout Owasso, Tulsa, Collinsville, and surrounding communities. Our Owasso dental practice is committed to protecting your oral health through comprehensive preventive care that includes systematic oral cancer detection and education about risk factors and warning signs.
Don’t wait – schedule your oral cancer screening today by calling Lexington Dental of Owasso at (918) 274-8500. We provide life-saving screenings for patients from Owasso, Tulsa, Collinsville, and throughout the greater Oklahoma area.
Owasso’s Friendly Neighborhood Dentist
At Lexington Dental, our Owasso family dentist, Dr. Jacob Cary, blends small-town warmth with big-city expertise. Raised on a family farm in Oklahoma and trained at NYU’s College of Dentistry, Dr. Cary returned home to offer personalized, high-quality care to the community he loves.
What truly sets our practice apart is Dr. Cary’s hands-on approach. He personally takes time to explain, educate, and connect about your dental care. With a dedicated team that shares his patient-first values, we create a welcoming space where you’re more than just a name on the schedule—you’re family.
What Are Oral Cancer Screenings?
Oral cancer screenings are a part of routine dental exams performed to detect signs of oral cancer or precancerous conditions in their earliest, most treatable stages. These screenings involve systematic visual and physical examination of all oral tissues, including the lips, tongue, gums, cheeks, throat, and neck areas, to identify abnormal changes that may indicate cancer development.
The screening process is painless, takes only a few minutes, and can be life-saving by catching potentially dangerous conditions before they progress to advanced stages. Dr. Cary incorporates oral cancer screenings into every routine dental visit, making this important preventive service convenient and accessible for all patients who maintain regular dental care schedules.
The Importance of Regular Oral Cancer Screenings
Oral cancer affects thousands of Americans each year, and early detection dramatically improves treatment outcomes and survival rates. Many oral cancers develop without obvious symptoms in their early stages, making professional screenings essential for identifying problems before they become serious health threats.
Statistics show that when oral cancer is detected early, the five-year survival rate exceeds 80%. However, when diagnosis occurs after the cancer has spread to other parts of the body, survival rates drop significantly. This stark difference emphasizes the critical importance of routine screenings for all adults, regardless of their perceived risk level.
Benefits of Annual Oral Cancer Screenings
Professional oral cancer screenings provide numerous advantages that extend beyond simple cancer detection:
- Early Detection and Improved Outcomes: Identifying oral cancer in its earliest stages allows for less invasive treatment options, better survival rates, and preservation of oral function, including speech, swallowing, and facial appearance.
- Reduced Treatment Complexity: Early-stage oral cancers often require simpler treatments with fewer side effects, shorter recovery times, and lower overall healthcare costs compared to advanced-stage cancer treatments.
- Peace of Mind: Regular screenings provide reassurance for patients with risk factors or those concerned about oral cancer, reducing anxiety and promoting proactive health management approaches.
- Identification of Precancerous Conditions: Screenings can detect abnormal tissue changes before they become cancerous, allowing for preventive treatment that eliminates future cancer risk.
- Education and Risk Reduction: Screening appointments provide opportunities for patient education about risk factors, lifestyle modifications, and self-examination techniques that support ongoing oral health.
- Cost-Effective Prevention: Regular screenings are significantly less expensive than cancer treatment and can prevent the need for extensive medical interventions through early detection.
- Preservation of Quality of Life: Early detection and treatment help maintain normal oral function, appearance, and overall quality of life that can be compromised by advanced oral cancer.
Common Oral Cancer Warning Signs
Understanding oral cancer symptoms helps patients recognize when to seek professional evaluation:
Visible Changes
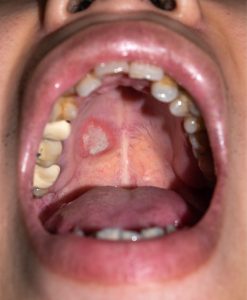
Persistent Mouth Sores: Ulcers or sores that don’t heal within two weeks, especially those that bleed easily or are painless, may indicate cancerous or precancerous conditions requiring immediate evaluation.- Red or White Patches: Unusual colored patches in the mouth, known as leukoplakia (white) or erythroplakia (red), can be early signs of cancer development, particularly on the tongue, floor of the mouth, or inner cheeks.
- Unusual Lumps or Swelling: New lumps, bumps, or areas of swelling in the mouth, throat, or neck that persist for more than two weeks should be evaluated professionally.
Functional Symptoms
- Difficulty Swallowing: Persistent pain or difficulty swallowing, known as dysphagia, can indicate tumors affecting the throat or mouth function and requires immediate professional attention.
- Chronic Sore Throat or Hoarseness: Ongoing throat pain or voice changes lasting more than two weeks without an obvious cause, especially when not associated with respiratory illness.
- Changes in Speech Patterns: Alterations in speech quality, pronunciation, or tongue movement that develop gradually or suddenly may indicate oral cancer affecting tongue or mouth structures.
Sensory Changes
- Numbness or Tingling: Loss of sensation in the mouth, lips, or tongue can indicate nerve involvement from developing tumors and should be evaluated promptly.
- Unexplained Bleeding: Bleeding in the mouth without an obvious cause, such as injury or dental procedures, particularly when it recurs or persists.
- Loose Teeth or Poorly Fitting Dentures: Changes in tooth alignment or denture fit can result from bone or tissue changes associated with oral cancer development.
Types of Oral Cancer
Understanding different types of oral cancer helps patients recognize the scope of conditions that screenings can detect:
- Squamous Cell Carcinoma: The most common type of oral cancer, originating in the flat cells lining the mouth and throat, typically affecting the tongue, gums, lips, floor of the mouth, and palate areas.
- Salivary Gland Cancers: Cancers developing in the major or minor salivary glands throughout the mouth, including various subtypes with different characteristics and treatment requirements.
- Lymphomas: Cancers affecting the lymphatic system that can involve tonsils or other lymphoid tissues in the mouth and throat areas.
- Melanomas: Rare but serious cancers that can develop in the oral cavity, including the tongue and palate, originating from pigment-producing cells.
The Oral Cancer Screening Process
Dr. Cary’s comprehensive screening approach includes multiple examination components:
Visual Examination
- Systematic Tissue Inspection: Thorough visual examination of all oral tissues, including lips, tongue, gums, cheeks, roof, and floor of the mouth, and throat using proper lighting and magnification when necessary.
- Photography Documentation: Digital photography of suspicious areas allows for comparison during future visits and consultation with specialists when needed.
- Risk Factor Assessment: Discussion of lifestyle factors, medical history, and family history that may increase oral cancer risk and influence screening frequency.
Physical Examination
- Palpation of Oral Tissues: Gentle manual examination of the tongue, floor of the mouth, and other soft tissues to detect lumps, masses, or unusual tissue changes not visible during visual inspection.
- Neck and Lymph Node Examination: Systematic palpation of neck lymph nodes to identify enlargement or masses that could indicate cancer spread from the oral cavity.
- Bite and Function Assessment: Evaluation of jaw function, bite alignment, and speech patterns that could be affected by developing oral cancers.
Advanced Screening Tools
- Enhanced Visualization Technology: When indicated, special lights or dyes may be used to highlight abnormal tissue changes that aren’t visible under normal lighting conditions.
- Referral Coordination: If suspicious areas are identified, Dr. Cary coordinates referrals to oral surgeons or oncologists for specialized evaluation and potential biopsy procedures.
Risk Factors for Oral Cancer
Understanding risk factors helps patients assess their need for more frequent screenings:
- Tobacco Use: All forms of tobacco, including cigarettes, cigars, pipes, and smokeless tobacco, significantly increase oral cancer risk, with risk levels correlating to duration and intensity of use.
- Alcohol Consumption: Heavy alcohol use, particularly when combined with tobacco use, dramatically increases oral cancer risk through tissue irritation and cellular damage over time.
- HPV Infection: Certain strains of human papillomavirus, particularly HPV-16, are increasingly linked to oral cancers, especially those affecting the throat and tongue base.
- Sun Exposure: Excessive sun exposure increases lip cancer risk, making regular screening important for people who work outdoors or have a history of significant sun exposure.
- Age and Gender: Oral cancer risk increases with age, with most cases occurring after age 40, and men historically show higher incidence rates than women.
- Poor Nutrition: Diets low in fruits and vegetables may increase oral cancer risk due to reduced antioxidant intake and overall immune system support.
Self-Examination Techniques
Between professional screenings, patients can perform monthly self-examinations to monitor for changes:
- Mirror Examination: Use a bright light and mirror to visually inspect all visible oral tissues, looking for color changes, sores, or unusual growths. Examine the lips, gums, tongue (top and bottom), cheeks, roof, and floor of the mouth systematically.
- Manual Palpation: Gently feel the tongue, floor of the mouth, and neck for lumps, masses, or areas of tenderness. Use clean hands and gentle pressure to examine all accessible areas.
- Functional Assessment: Note any changes in speech, swallowing, or jaw movement that develop gradually or appear suddenly, as these can indicate developing problems requiring professional evaluation.
Prevention and Risk Reduction
While not all oral cancers are preventable, several strategies can significantly reduce risk:
- Tobacco Cessation: Eliminating all tobacco use is the most effective way to reduce oral cancer risk, with benefits beginning immediately after quitting and continuing to increase over time.
- Moderate Alcohol Consumption: Limiting alcohol intake reduces oral cancer risk, especially when combined with tobacco cessation for maximum protective benefit.
- HPV Vaccination: Available vaccines can prevent HPV infection and reduce associated cancer risks, particularly beneficial for younger individuals before exposure occurs.
- Healthy Diet: Consuming a diet rich in fruits and vegetables provides antioxidants and nutrients that support immune system function and may reduce cancer risk.
- Sun Protection: Using lip balm with SPF protection and limiting sun exposure helps prevent lip cancer development from UV radiation damage.
Frequently Asked Questions
Most adults should receive oral cancer screenings annually as part of their routine dental examinations. However, patients with higher risk factors such as tobacco use, heavy alcohol consumption, or previous oral cancer may need more frequent screenings every three to six months. Regular screenings are particularly important for adults over 40, when oral cancer incidence increases significantly.
Oral cancer screenings are completely painless and typically take only three to five minutes during your regular dental appointment. The examination involves visual inspection and gentle palpation of oral tissues and neck lymph nodes using techniques similar to those used during routine dental examinations. Most patients find the screening process comfortable and appreciate the peace of mind it provides.
If Dr. Cary identifies any areas of concern during your screening, he will discuss the findings with you and may recommend additional evaluation by an oral surgeon or oncologist. This might include a biopsy procedure to determine whether the tissue is cancerous or precancerous. It’s important to remember that many suspicious areas turn out to be benign conditions, but early professional evaluation is always the safest approach. Dr. Cary coordinates with specialists to provide prompt, comprehensive care when needed.
Yes, oral cancer can develop in people without traditional risk factors, though it’s less common. HPV infection, sun exposure, genetic factors, and other unknown causes can contribute to oral cancer development. This is why regular screenings are recommended for all adults, regardless of their perceived risk level.
If you notice any persistent changes in your mouth, including sores that don’t heal within two weeks, unusual lumps, color changes, or functional problems like difficulty swallowing, contact our office immediately for evaluation. Don’t wait for your next scheduled appointment if you have concerns. Early evaluation of suspicious changes provides the best opportunity for successful treatment if cancer is present.
No special preparation is required for oral cancer screenings. Simply maintain your normal oral hygiene routine and avoid eating or drinking anything that might stain your mouth immediately before your appointment. If you wear lipstick or lip balm, you may be asked to remove it before the examination. Let Dr. Cary know about any medications you’re taking or health conditions you have, as these can sometimes affect oral tissues and examination findings.
Protect Your Health with Regular Screenings
Oral cancer screening is one of the most important preventive services we provide, offering the potential to save lives through early detection. At Lexington Dental of Owasso, Dr. Jacob Cary is committed to providing thorough, professional oral cancer screenings that give patients the best chance for early detection and successful treatment outcomes. Don’t leave your oral health to chance – make oral cancer screening a regular part of your preventive healthcare routine.
Schedule your comprehensive oral cancer screening with Dr. Jacob Cary at Lexington Dental of Owasso today by calling (918) 274-8500. Located at 8500 N 129th East Avenue in Owasso, we provide life-saving oral cancer screenings for patients from Owasso, Tulsa, Collinsville, and throughout the greater Oklahoma area. Early detection saves lives – make your appointment today.
